‧其不同處在於內冠的不同
‧傳統瓷牙冠
簡稱pfm (porcelain fuse to metal)顧名思義其製作模式就是將陶瓷燒結在金屬上面,完成所謂的
“瓷“金屬融合牙冠。
傳統瓷牙冠的價格差異性,主要是來自於金屬內冠成份的不同,金屬的優劣,相對的會影響到牙冠的壽命。
傳統的瓷牙冠美中不足的地方:
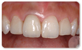
(1) 牙齦部份的暗色陰影:因為上述金屬不透光的緣故,所以牙套齒頸部的牙齦部份會有暗色陰影,使牙齦顏色失真。甚至於在口內潮濕的環境久了,其金屬部分會氧化並解離出金屬離子將牙齦染黑。
(2)不自然的牙齒:其牙套看起來比較灰白而失去真牙的透明感。尤其在齒頸部特別明顯,因為這個部位瓷的厚度常常不足。
|
 |
‧全瓷冠
以人工琺瑯質為主的全瓷冠,因為完全沒有金屬,所以可以讓較多的光線穿透,在視覺上改善了上述傳統瓷牙的兩大缺點而有極佳的透明度;在齒頸部的牙齦也不會有金屬內冠的陰影存在,也無須擔心因為金屬氧化解離出的金屬離子將牙齦染黑。因此,會比傳統瓷牙更像真牙,所以全瓷冠會比傳統瓷牙更容易回復美觀、自然而又逼真的牙齒外觀。 |
 |
 |
一般的金屬內緣,外面燒附瓷的『傳統瓷牙』,此圖顯示內層金屬是金黃色的黃金合金,常見的為銀色的合金。 |
 |
此圖顯示全瓷,內層為白色的氧化鋯或氧化鋁內緣,不會有金屬透出影響美觀的問題。 |