 |
‧改善微笑曲線 |
| ‧改善牙齒顏色 |
| ‧改善牙齒外型 |
| ‧治療齒間縫隙 |
| ‧治療局部齒列不整 |
| ‧取代變色舊牙套 |
| ‧修補斷裂牙齒 |
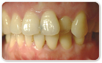
(1) 牙齒間出現縫隙
牙齒排列較疏鬆導致牙縫過大(漏財縫),牙齒型態異常、門牙因外力撞擊而有局部斷裂或缺角等情形,
除了以牙科樹脂填補或製作牙套外,也可考慮用陶瓷貼面來治療。
(2) 前牙的形狀或排列異常
當上頷牙齒排列輕微不整齊,且又不想以戴矯正器方式治療時,製作陶瓷貼片,也可以改善。
(3) 前牙切端因過度磨耗造成的不美觀
(4) 前牙顏色異常
(例如四環黴素染色) 或是牙齒表面散佈不規則的色斑。
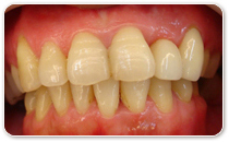
‧由於牙齒美白技術並不能解決所有牙齒變色的問題,於是乎美容貼瓷技術就應運而生。
這項技術能徹底改變牙齒的色澤及表面凹凸不平的狀況,是對牙齒美觀需求較高者的一大福音。
‧進行美容貼瓷時,醫師會先將患者牙齒表面磨去薄薄一層,再將依牙形製作、厚度僅有一至一點五毫米的薄瓷片,貼附在牙齒表面上,牙齒馬上就可以煥然一新!全口貼瓷,一般只針對微笑時會露出來的上排前面六至八顆進行貼瓷就可以,並不需要全口貼瓷。
| |
|
 |
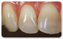
‧陶瓷貼面是將牙齒唇側表面磨除約0.6~0.8mm的厚度,並印製牙齒模型。
如圖,顯示修磨過後的牙齒。相較於牙套的修磨,陶瓷貼片因只需修磨較薄的
厚度而較為保守。 |
| |
|
 |
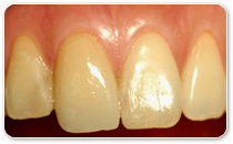
‧用陶瓷為材料,在模型上製作每顆牙齒的陶瓷貼面,再以黏著劑將其逐顆
貼在牙齒上。 |
01.瓷塊透光性高,顏色外形自然美觀
02.最接近自然齒質:冷熱傳導特性與硬度 接近琺瑯質,不傷對咬牙,是目前最接 近自然牙的填補材質
03.人工琺瑯瓷材,最佳生物相容性
04.接近自然齒色,美觀耐用
05.邊緣最密合,二次蛀牙率低
06.穩定性最佳,不老化變色
07.節省療程,不需多次約診