| |
|
|

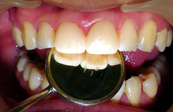
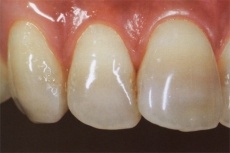
類別/一日快速全口美容
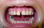
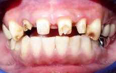
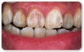
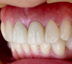
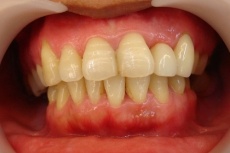
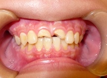
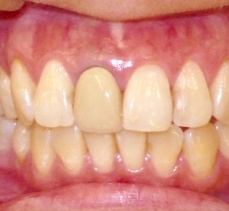
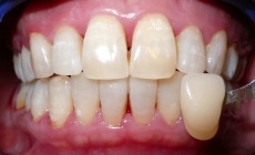
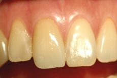
一日全口美容--蘇小姐前牙全瓷冠
因蛀牙造成前牙區美觀缺陷,利用全瓷牙冠恢復美觀。
當日美白,當日印模, 當日完成全瓷冠。
|
 |
|
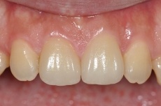
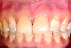
治療前
|
|
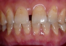
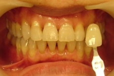
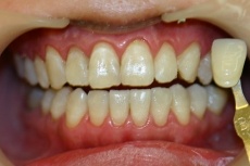
治療後
當日美白,當日印模, 當日完成全瓷冠,重展燦爛笑容。 |
|
 |
|
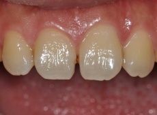
治療後
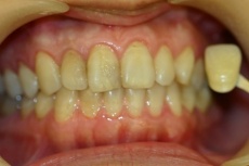
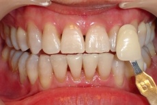
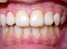
利用頂級3D牙齒掃描機一日完成全口美容治療 |
|
治療後
數位微笑設計,創造屬於你的美好微笑 |
※ 本網站介紹的治療案例僅屬個別案例,對不同人士可能有不同效果。任何案例如與網站流覽者曾接受的治療如有雷同,則純屬巧合。
請勿根據此處的資訊診斷自己牙齒的問題,應向專業牙醫生查詢。
類別/一日快速全口美容
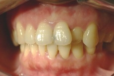
快速全口美容重建--全瓷假牙
當日美白,當日印模, 當日完成全瓷冠
利用頂級3D牙齒掃描機一日完成全口美容治療
當日美白,當日印模, 當日完成全瓷冠
※ 本網站介紹的治療案例僅屬個別案例,對不同人士可能有不同效果。任何案例如與網站流覽者曾接受的治療如有雷同,則純屬巧合。
請勿根據此處的資訊診斷自己牙齒的問題,應向專業牙醫生查詢。
類別/一日全口重建植牙
all on 4一日全口植牙
all one是利用四顆到6棵植體植入缺牙區可以立即乘載咬合力,不用像傳統植牙須等待6-12個月。
多顆缺牙,少牙,全口無牙最佳選擇。
顆數少,費用較低,不須進行補骨 ,手術次數減少 ,等待時間短 。
※ 本網站介紹的治療案例僅屬個別案例,對不同人士可能有不同效果。任何案例如與網站流覽者曾接受的治療如有雷同,則純屬巧合。
請勿根據此處的資訊診斷自己牙齒的問題,應向專業牙醫生查詢。
類別/一日全口重建植牙
all one一日全口重建植牙
上顎全部缺牙,植入植體後當日裝戴固定臨時假牙可立即咬合。
多顆缺牙,少牙,全口無牙最佳選擇;當日快速重建。
※ 本網站介紹的治療案例僅屬個別案例,對不同人士可能有不同效果。任何案例如與網站流覽者曾接受的治療如有雷同,則純屬巧合。
請勿根據此處的資訊診斷自己牙齒的問題,應向專業牙醫生查詢。
類別/一日全口重建植牙
all one 一日全口植牙
病人上顎全口缺牙,植入植體後直接裝戴固定式臨時假牙。當天即可咬合。
多顆缺牙,少牙,全口無牙最佳選擇;當日快速重建。
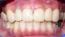
治療後
※ 本網站介紹的治療案例僅屬個別案例,對不同人士可能有不同效果。任何案例如與網站流覽者曾接受的治療如有雷同,則純屬巧合。
請勿根據此處的資訊診斷自己牙齒的問題,應向專業牙醫生查詢。
類別/一日全口重建植牙
ALL ONE一日全口重建植牙-上顎全口重建案例
因牙周病而拔除數年,使用3D導航植牙植入六顆植體後全口重建。當日植牙,當日裝牙,立即受力
|
 |
|
治療前 |
|
治療後
多顆缺牙,少牙,全口無牙最佳選擇;當日快速重建。顆數少,費用較低,不須進行補骨 ,手術次數減少 ,等待時間短 。
|
※ 本網站介紹的治療案例僅屬個別案例,對不同人士可能有不同效果。任何案例如與網站流覽者曾接受的治療如有雷同,則純屬巧合。
請勿根據此處的資訊診斷自己牙齒的問題,應向專業牙醫生查詢。
類別/一日全口重建植牙
ALL ONE一日全口重建-上顎全口重建案例
患者因蛀牙而上顎全口皆拔除
當日植牙,當日裝牙,立即受力。
多顆缺牙,少牙,全口無牙最佳選擇;當日快速重建。
顆數少,費用較低,不須進行補骨 ,手術次數減少 ,等待時間短 。
※ 本網站介紹的治療案例僅屬個別案例,對不同人士可能有不同效果。任何案例如與網站流覽者曾接受的治療如有雷同,則純屬巧合。
請勿根據此處的資訊診斷自己牙齒的問題,應向專業牙醫生查詢。
類別/全瓷假牙
全瓷冠
※ 本網站介紹的治療案例僅屬個別案例,對不同人士可能有不同效果。任何案例如與網站流覽者曾接受的治療如有雷同,則純屬巧合。
請勿根據此處的資訊診斷自己牙齒的問題,應向專業牙醫生查詢。
類別/全瓷假牙
全瓷冠
使用全瓷冠把原本顏色錯誤的假牙替換成跟自然牙一樣的美麗曲線
※ 本網站介紹的治療案例僅屬個別案例,對不同人士可能有不同效果。任何案例如與網站流覽者曾接受的治療如有雷同,則純屬巧合。
請勿根據此處的資訊診斷自己牙齒的問題,應向專業牙醫生查詢。
類別/全瓷假牙
最新科技全瓷牙冠
本診所率先引進最新德國emax全瓷冠系統為您創造出最美的微笑
劉小姐使用全瓷冠把原本蛀掉不美觀的牙齒恢復美觀!
※ 本網站介紹的治療案例僅屬個別案例,對不同人士可能有不同效果。任何案例如與網站流覽者曾接受的治療如有雷同,則純屬巧合。
請勿根據此處的資訊診斷自己牙齒的問題,應向專業牙醫生查詢。
類別/全瓷假牙
前牙美容重建--全瓷假牙
當日美白,當日印模, 當日完成全瓷冠
利用頂級3D牙齒掃描機當日完成全口美容治療
※ 本網站介紹的治療案例僅屬個別案例,對不同人士可能有不同效果。任何案例如與網站流覽者曾接受的治療如有雷同,則純屬巧合。
請勿根據此處的資訊診斷自己牙齒的問題,應向專業牙醫生查詢。
類別/微笑美容貼片
門牙兩顆貼瓷
※ 本網站介紹的治療案例僅屬個別案例,對不同人士可能有不同效果。任何案例如與網站流覽者曾接受的治療如有雷同,則純屬巧合。
請勿根據此處的資訊診斷自己牙齒的問題,應向專業牙醫生查詢。
類別/微笑美容貼片
門牙天生有空隙
使用最新德國進口0.3mm水晶貼瓷技術,
可以不傷琺瑯質,就有最自然的效果
※ 本網站介紹的治療案例僅屬個別案例,對不同人士可能有不同效果。任何案例如與網站流覽者曾接受的治療如有雷同,則純屬巧合。
請勿根據此處的資訊診斷自己牙齒的問題,應向專業牙醫生查詢。
類別/微笑美容貼片
美容貼瓷-修補斷裂牙齒
※ 本網站介紹的治療案例僅屬個別案例,對不同人士可能有不同效果。任何案例如與網站流覽者曾接受的治療如有雷同,則純屬巧合。
請勿根據此處的資訊診斷自己牙齒的問題,應向專業牙醫生查詢。
類別/微笑美容貼片
美容貼瓷-治療局部齒列不整
※ 本網站介紹的治療案例僅屬個別案例,對不同人士可能有不同效果。任何案例如與網站流覽者曾接受的治療如有雷同,則純屬巧合。
請勿根據此處的資訊診斷自己牙齒的問題,應向專業牙醫生查詢。
類別/微笑美容貼片
美容貼瓷
可以讓因為藥物染色的牙齒美白
※ 本網站介紹的治療案例僅屬個別案例,對不同人士可能有不同效果。任何案例如與網站流覽者曾接受的治療如有雷同,則純屬巧合。
請勿根據此處的資訊診斷自己牙齒的問題,應向專業牙醫生查詢。
類別/微笑美容貼片
美容貼片案例
※ 本網站介紹的治療案例僅屬個別案例,對不同人士可能有不同效果。任何案例如與網站流覽者曾接受的治療如有雷同,則純屬巧合。
請勿根據此處的資訊診斷自己牙齒的問題,應向專業牙醫生查詢。
類別/低疼痛快速美白
本診所使用好萊鄔明星同樣的美白技術
※ 本網站介紹的治療案例僅屬個別案例,對不同人士可能有不同效果。任何案例如與網站流覽者曾接受的治療如有雷同,則純屬巧合。
請勿根據此處的資訊診斷自己牙齒的問題,應向專業牙醫生查詢。
類別/低疼痛快速美白
低疼痛快速美白-案例四
※ 本網站介紹的治療案例僅屬個別案例,對不同人士可能有不同效果。任何案例如與網站流覽者曾接受的治療如有雷同,則純屬巧合。
請勿根據此處的資訊診斷自己牙齒的問題,應向專業牙醫生查詢。
類別/低疼痛快速美白
低疼痛快速美白-案例三
※ 本網站介紹的治療案例僅屬個別案例,對不同人士可能有不同效果。任何案例如與網站流覽者曾接受的治療如有雷同,則純屬巧合。
請勿根據此處的資訊診斷自己牙齒的問題,應向專業牙醫生查詢。
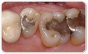
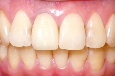
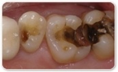
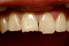
類別/人工琺瑯補牙
人工琺瑯補牙案例
治療前 治療前 治療後
治療前 治療後
※ 本網站介紹的治療案例僅屬個別案例,對不同人士可能有不同效果。任何案例如與網站流覽者曾接受的治療如有雷同,則純屬巧合。
請勿根據此處的資訊診斷自己牙齒的問題,應向專業牙醫生查詢。
類別/低疼痛3D矯正
矯正患者 蔡先生
矯正前
矯正後
※ 本網站介紹的治療案例僅屬個別案例,對不同人士可能有不同效果。任何案例如與網站流覽者曾接受的治療如有雷同,則純屬巧合。
請勿根據此處的資訊診斷自己牙齒的問題,應向專業牙醫生查詢。
類別/低疼痛3D矯正
矯正患者 蔡先生
矯正前
矯正後
※ 本網站介紹的治療案例僅屬個別案例,對不同人士可能有不同效果。任何案例如與網站流覽者曾接受的治療如有雷同,則純屬巧合。
請勿根據此處的資訊診斷自己牙齒的問題,應向專業牙醫生查詢。
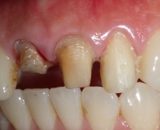
類別/3D安全低疼痛植牙
前牙區缺牙案例
前牙蛀牙而拔除後植牙直接補骨後裝牙,可以縮短療程一半以上時間
※ 本網站介紹的治療案例僅屬個別案例,對不同人士可能有不同效果。任何案例如與網站流覽者曾接受的治療如有雷同,則純屬巧合。
請勿根據此處的資訊診斷自己牙齒的問題,應向專業牙醫生查詢。
類別/3D安全低疼痛植牙
上下顎區三顆缺牙重建
上顎區缺兩顆後牙,下顎區缺一顆後牙.植牙後裝假牙重建
※ 本網站介紹的治療案例僅屬個別案例,對不同人士可能有不同效果。任何案例如與網站流覽者曾接受的治療如有雷同,則純屬巧合。
請勿根據此處的資訊診斷自己牙齒的問題,應向專業牙醫生查詢。
|
|
|