Text alternative when image is not availableText alternative when image is not availableText alternative when image is not available
 
 

 

 

 首頁>各科介紹>人工琺瑯補牙

 

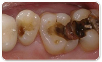
銀粉補牙---
銀汞補牙不但難看,而且容易對冷
熱過敏,怎麼辦?

 

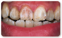
光照樹脂補牙---
樹脂補綴容易變質、變色產生口臭,而且會因收縮引發二次蛀牙!

 

人工琺瑯補牙---

 

人工琺瑯補牙---

‧由醫師診斷牙齒已有新蛀牙或二次蛀牙
‧將蛀牙部位清除乾淨或移除原有的銀粉或樹脂
‧醫師取窩洞模型送至齿模所
‧使用3D攝影機將牙齒資料掃瞄到電腦中進行運算
‧經過設計後,自動將人工琺瑯質瓷塊雕琢成和蛀洞完全密合的形狀


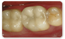
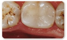
治療前治療前治療後
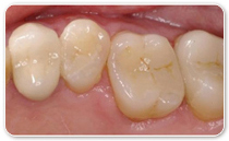
治療前治療後

01.保留最多自然齒質
02.操作簡單
03.製作精確,密合度高

04.材質接近天然齒質,不傷對咬牙
05.顏色美觀,透光性高
06.二次蛀牙機率大幅減少

 

 

 

 

 

 
   
 

 

 

 
諮詢專線│0800-800812 地址│新竹縣竹北市光明六路東二段242號

本網頁禁止任何網際網路業者轉錄其網路資訊之內容供人點閱專精項目:植牙本站已通過W3C驗證