|
|

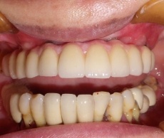
類別/一日全口重建植牙
all on 4一日全口植牙
all one是利用四顆到6棵植體植入缺牙區可以立即乘載咬合力,不用像傳統植牙須等待6-12個月。
多顆缺牙,少牙,全口無牙最佳選擇。
顆數少,費用較低,不須進行補骨 ,手術次數減少 ,等待時間短 。
※ 本網站介紹的治療案例僅屬個別案例,對不同人士可能有不同效果。任何案例如與網站流覽者曾接受的治療如有雷同,則純屬巧合。
請勿根據此處的資訊診斷自己牙齒的問題,應向專業牙醫生查詢。
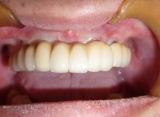
類別/一日全口重建植牙
all one一日全口重建植牙
上顎全部缺牙,植入植體後當日裝戴固定臨時假牙可立即咬合。
多顆缺牙,少牙,全口無牙最佳選擇;當日快速重建。
※ 本網站介紹的治療案例僅屬個別案例,對不同人士可能有不同效果。任何案例如與網站流覽者曾接受的治療如有雷同,則純屬巧合。
請勿根據此處的資訊診斷自己牙齒的問題,應向專業牙醫生查詢。
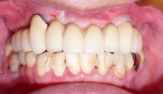
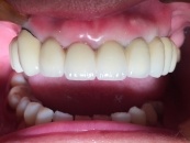
類別/一日全口重建植牙
all one 一日全口植牙
病人上顎全口缺牙,植入植體後直接裝戴固定式臨時假牙。當天即可咬合。
多顆缺牙,少牙,全口無牙最佳選擇;當日快速重建。
治療後
※ 本網站介紹的治療案例僅屬個別案例,對不同人士可能有不同效果。任何案例如與網站流覽者曾接受的治療如有雷同,則純屬巧合。
請勿根據此處的資訊診斷自己牙齒的問題,應向專業牙醫生查詢。
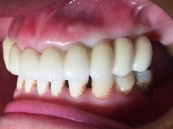
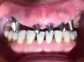
類別/一日全口重建植牙
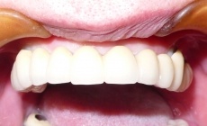
ALL ONE一日全口重建植牙-上顎全口重建案例
因牙周病而拔除數年,使用3D導航植牙植入六顆植體後全口重建。當日植牙,當日裝牙,立即受力
|
 |
|
治療前 |
|
治療後
多顆缺牙,少牙,全口無牙最佳選擇;當日快速重建。顆數少,費用較低,不須進行補骨 ,手術次數減少 ,等待時間短 。
|
※ 本網站介紹的治療案例僅屬個別案例,對不同人士可能有不同效果。任何案例如與網站流覽者曾接受的治療如有雷同,則純屬巧合。
請勿根據此處的資訊診斷自己牙齒的問題,應向專業牙醫生查詢。
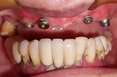
類別/一日全口重建植牙
ALL ONE一日全口重建-上顎全口重建案例
患者因蛀牙而上顎全口皆拔除
當日植牙,當日裝牙,立即受力。
多顆缺牙,少牙,全口無牙最佳選擇;當日快速重建。
顆數少,費用較低,不須進行補骨 ,手術次數減少 ,等待時間短 。
※ 本網站介紹的治療案例僅屬個別案例,對不同人士可能有不同效果。任何案例如與網站流覽者曾接受的治療如有雷同,則純屬巧合。
請勿根據此處的資訊診斷自己牙齒的問題,應向專業牙醫生查詢。
|
|
|