Text alternative when image is not availableText alternative when image is not availableText alternative when image is not available
 
 

 

 

 

 

 

 

 

 

 

 

 

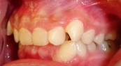
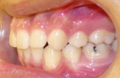
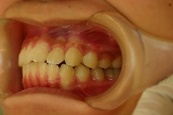
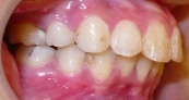
類別/低疼痛3D矯正

矯正患者 蔡先生

矯正前

矯正後



※ 本網站介紹的治療案例僅屬個別案例,對不同人士可能有不同效果。任何案例如與網站流覽者曾接受的治療如有雷同,則純屬巧合。

請勿根據此處的資訊診斷自己牙齒的問題,應向專業牙醫生查詢。

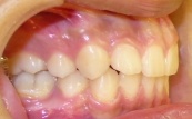
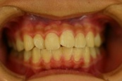
類別/低疼痛3D矯正

矯正患者 蔡先生

矯正前

矯正後



※ 本網站介紹的治療案例僅屬個別案例,對不同人士可能有不同效果。任何案例如與網站流覽者曾接受的治療如有雷同,則純屬巧合。

請勿根據此處的資訊診斷自己牙齒的問題,應向專業牙醫生查詢。

類別/低疼痛3D矯正

矯正患者 范先生

矯正前

矯正後



※ 本網站介紹的治療案例僅屬個別案例,對不同人士可能有不同效果。任何案例如與網站流覽者曾接受的治療如有雷同,則純屬巧合。

請勿根據此處的資訊診斷自己牙齒的問題,應向專業牙醫生查詢。

類別/低疼痛3D矯正

矯正患者 廖小姐

矯正前

矯正後



※ 本網站介紹的治療案例僅屬個別案例,對不同人士可能有不同效果。任何案例如與網站流覽者曾接受的治療如有雷同,則純屬巧合。

請勿根據此處的資訊診斷自己牙齒的問題,應向專業牙醫生查詢。

類別/低疼痛3D矯正

矯正患者 廖小姐

矯正前

矯正後



※ 本網站介紹的治療案例僅屬個別案例,對不同人士可能有不同效果。任何案例如與網站流覽者曾接受的治療如有雷同,則純屬巧合。

請勿根據此處的資訊診斷自己牙齒的問題,應向專業牙醫生查詢。

類別/低疼痛3D矯正

矯正患者 林小姐

矯正前

矯正後



※ 本網站介紹的治療案例僅屬個別案例,對不同人士可能有不同效果。任何案例如與網站流覽者曾接受的治療如有雷同,則純屬巧合。

請勿根據此處的資訊診斷自己牙齒的問題,應向專業牙醫生查詢。

類別/低疼痛3D矯正

矯正患者 林小姐

矯正前

矯正後



※ 本網站介紹的治療案例僅屬個別案例,對不同人士可能有不同效果。任何案例如與網站流覽者曾接受的治療如有雷同,則純屬巧合。

請勿根據此處的資訊診斷自己牙齒的問題,應向專業牙醫生查詢。

類別/低疼痛3D矯正

矯正患者 陳先生

矯正前

矯正後



※ 本網站介紹的治療案例僅屬個別案例,對不同人士可能有不同效果。任何案例如與網站流覽者曾接受的治療如有雷同,則純屬巧合。

請勿根據此處的資訊診斷自己牙齒的問題,應向專業牙醫生查詢。

類別/低疼痛3D矯正

矯正患者 陳先生

矯正前

矯正後



※ 本網站介紹的治療案例僅屬個別案例,對不同人士可能有不同效果。任何案例如與網站流覽者曾接受的治療如有雷同,則純屬巧合。

請勿根據此處的資訊診斷自己牙齒的問題,應向專業牙醫生查詢。

類別/低疼痛3D矯正

矯正患者 林小姐

矯正前

矯正後



※ 本網站介紹的治療案例僅屬個別案例,對不同人士可能有不同效果。任何案例如與網站流覽者曾接受的治療如有雷同,則純屬巧合。

請勿根據此處的資訊診斷自己牙齒的問題,應向專業牙醫生查詢。

類別/低疼痛3D矯正

咬合不整患者 周先生

矯正前

矯正後



※ 本網站介紹的治療案例僅屬個別案例,對不同人士可能有不同效果。任何案例如與網站流覽者曾接受的治療如有雷同,則純屬巧合。

請勿根據此處的資訊診斷自己牙齒的問題,應向專業牙醫生查詢。

類別/低疼痛3D矯正

咬合不整患者 周先生

 

治療前
 
治療前
治療後
 
治療後


※ 本網站介紹的治療案例僅屬個別案例,對不同人士可能有不同效果。任何案例如與網站流覽者曾接受的治療如有雷同,則純屬巧合。

請勿根據此處的資訊診斷自己牙齒的問題,應向專業牙醫生查詢。

類別/低疼痛3D矯正

矯正患者 王先生

 

矯正前
 
矯正前
矯正後
 
矯正後


※ 本網站介紹的治療案例僅屬個別案例,對不同人士可能有不同效果。任何案例如與網站流覽者曾接受的治療如有雷同,則純屬巧合。

請勿根據此處的資訊診斷自己牙齒的問題,應向專業牙醫生查詢。

類別/低疼痛3D矯正

矯正患者  王先生

矯正前

矯正後



※ 本網站介紹的治療案例僅屬個別案例,對不同人士可能有不同效果。任何案例如與網站流覽者曾接受的治療如有雷同,則純屬巧合。

請勿根據此處的資訊診斷自己牙齒的問題,應向專業牙醫生查詢。

類別/低疼痛3D矯正

矯正患者 王先生

矯正前--臉型突出

矯正後--突出臉型大為改善



※ 本網站介紹的治療案例僅屬個別案例,對不同人士可能有不同效果。任何案例如與網站流覽者曾接受的治療如有雷同,則純屬巧合。

請勿根據此處的資訊診斷自己牙齒的問題,應向專業牙醫生查詢。

類別/低疼痛3D矯正

排列不整患者周先生

 

治療前
 
治療後
治療前
 
治療後


※ 本網站介紹的治療案例僅屬個別案例,對不同人士可能有不同效果。任何案例如與網站流覽者曾接受的治療如有雷同,則純屬巧合。

請勿根據此處的資訊診斷自己牙齒的問題,應向專業牙醫生查詢。

類別/低疼痛3D矯正

排列不整患者周先生

 

治療前
 
治療後
治療前
 
治療後


※ 本網站介紹的治療案例僅屬個別案例,對不同人士可能有不同效果。任何案例如與網站流覽者曾接受的治療如有雷同,則純屬巧合。

請勿根據此處的資訊診斷自己牙齒的問題,應向專業牙醫生查詢。

類別/低疼痛3D矯正

排列不整患者周先生

嚴重齒列不整合併臉型突出,矯正後臉型大幅改變

 

治療前
 
治療後
治療前
 
治療後


※ 本網站介紹的治療案例僅屬個別案例,對不同人士可能有不同效果。任何案例如與網站流覽者曾接受的治療如有雷同,則純屬巧合。

請勿根據此處的資訊診斷自己牙齒的問題,應向專業牙醫生查詢。

類別/低疼痛3D矯正

排列不整患者周先生

 

治療前
 
治療後
治療前
 
治療後


※ 本網站介紹的治療案例僅屬個別案例,對不同人士可能有不同效果。任何案例如與網站流覽者曾接受的治療如有雷同,則純屬巧合。

請勿根據此處的資訊診斷自己牙齒的問題,應向專業牙醫生查詢。

類別/低疼痛3D矯正

不拔牙患者蔡先生

 

治療前
 
治療後
治療前
 
治療後


※ 本網站介紹的治療案例僅屬個別案例,對不同人士可能有不同效果。任何案例如與網站流覽者曾接受的治療如有雷同,則純屬巧合。

請勿根據此處的資訊診斷自己牙齒的問題,應向專業牙醫生查詢。

類別/低疼痛3D矯正

不拔牙患者蔡先生

 

治療前
 
治療後
治療前
 
治療後


※ 本網站介紹的治療案例僅屬個別案例,對不同人士可能有不同效果。任何案例如與網站流覽者曾接受的治療如有雷同,則純屬巧合。

請勿根據此處的資訊診斷自己牙齒的問題,應向專業牙醫生查詢。

類別/低疼痛3D矯正

臉型突出患者蔡先生

求診原因--嘴型太凸

 

治療前
 
治療後--臉型突出大為改善
治療前
 
治療後--臉型突出大為改善


※ 本網站介紹的治療案例僅屬個別案例,對不同人士可能有不同效果。任何案例如與網站流覽者曾接受的治療如有雷同,則純屬巧合。

請勿根據此處的資訊診斷自己牙齒的問題,應向專業牙醫生查詢。

類別/低疼痛3D矯正

臉型突出患者蔡先生

 

治療前
 
治療後
治療前
 
治療後


※ 本網站介紹的治療案例僅屬個別案例,對不同人士可能有不同效果。任何案例如與網站流覽者曾接受的治療如有雷同,則純屬巧合。

請勿根據此處的資訊診斷自己牙齒的問題,應向專業牙醫生查詢。

類別/低疼痛3D矯正

不拔牙患者陳小姐

 

治療前
 
治療後
治療前
 
治療後


※ 本網站介紹的治療案例僅屬個別案例,對不同人士可能有不同效果。任何案例如與網站流覽者曾接受的治療如有雷同,則純屬巧合。

請勿根據此處的資訊診斷自己牙齒的問題,應向專業牙醫生查詢。

類別/低疼痛3D矯正

不拔牙患者陳小姐

 

治療前
 
治療後
治療前
 
治療後


※ 本網站介紹的治療案例僅屬個別案例,對不同人士可能有不同效果。任何案例如與網站流覽者曾接受的治療如有雷同,則純屬巧合。

請勿根據此處的資訊診斷自己牙齒的問題,應向專業牙醫生查詢。

類別/低疼痛3D矯正

不拔牙患者陳小姐

 

治療前
 
治療後
治療前
 
治療後


※ 本網站介紹的治療案例僅屬個別案例,對不同人士可能有不同效果。任何案例如與網站流覽者曾接受的治療如有雷同,則純屬巧合。

請勿根據此處的資訊診斷自己牙齒的問題,應向專業牙醫生查詢。

類別/低疼痛3D矯正

不拔牙患者陳小姐

 

治療前
 
治療後
治療前
 
治療後


※ 本網站介紹的治療案例僅屬個別案例,對不同人士可能有不同效果。任何案例如與網站流覽者曾接受的治療如有雷同,則純屬巧合。

請勿根據此處的資訊診斷自己牙齒的問題,應向專業牙醫生查詢。

類別/低疼痛3D矯正

深咬患者陳先生

 

治療前
 
治療後
治療前
 
治療後


※ 本網站介紹的治療案例僅屬個別案例,對不同人士可能有不同效果。任何案例如與網站流覽者曾接受的治療如有雷同,則純屬巧合。

請勿根據此處的資訊診斷自己牙齒的問題,應向專業牙醫生查詢。

類別/低疼痛3D矯正

深咬患者陳先生

 

治療前
 
治療後
治療前
 
治療後


※ 本網站介紹的治療案例僅屬個別案例,對不同人士可能有不同效果。任何案例如與網站流覽者曾接受的治療如有雷同,則純屬巧合。

請勿根據此處的資訊診斷自己牙齒的問題,應向專業牙醫生查詢。

類別/低疼痛3D矯正

深咬患者陳先生

兩側犬齒無法萌發

 

治療前
 
治療後
治療前
 
治療後


※ 本網站介紹的治療案例僅屬個別案例,對不同人士可能有不同效果。任何案例如與網站流覽者曾接受的治療如有雷同,則純屬巧合。

請勿根據此處的資訊診斷自己牙齒的問題,應向專業牙醫生查詢。

類別/低疼痛3D矯正

深咬患者陳先生

 

治療前
 
治療後
治療前
 
治療後


※ 本網站介紹的治療案例僅屬個別案例,對不同人士可能有不同效果。任何案例如與網站流覽者曾接受的治療如有雷同,則純屬巧合。

請勿根據此處的資訊診斷自己牙齒的問題,應向專業牙醫生查詢。

類別/低疼痛3D矯正

深咬患者范先生

兩側"吸血鬼型"犬齒合併深咬

 

治療前
 
治療後
治療前
 
治療後


※ 本網站介紹的治療案例僅屬個別案例,對不同人士可能有不同效果。任何案例如與網站流覽者曾接受的治療如有雷同,則純屬巧合。

請勿根據此處的資訊診斷自己牙齒的問題,應向專業牙醫生查詢。

類別/低疼痛3D矯正

深咬患者范先生

 

治療前
 
治療後
治療前
 
治療後


※ 本網站介紹的治療案例僅屬個別案例,對不同人士可能有不同效果。任何案例如與網站流覽者曾接受的治療如有雷同,則純屬巧合。

請勿根據此處的資訊診斷自己牙齒的問題,應向專業牙醫生查詢。

類別/低疼痛3D矯正

深咬患者范先生

因深咬造成的下巴後縮,治療完成臉型大幅改變

 

治療前
 
治療後
治療前
 
治療後


※ 本網站介紹的治療案例僅屬個別案例,對不同人士可能有不同效果。任何案例如與網站流覽者曾接受的治療如有雷同,則純屬巧合。

請勿根據此處的資訊診斷自己牙齒的問題,應向專業牙醫生查詢。

類別/低疼痛3D矯正

深咬患者范先生

 

治療前
 
治療後
治療前
 
治療後


※ 本網站介紹的治療案例僅屬個別案例,對不同人士可能有不同效果。任何案例如與網站流覽者曾接受的治療如有雷同,則純屬巧合。

請勿根據此處的資訊診斷自己牙齒的問題,應向專業牙醫生查詢。

類別/低疼痛3D矯正

厚道患者王小姐

 

治療前
 
治療後
治療前
 
治療後


※ 本網站介紹的治療案例僅屬個別案例,對不同人士可能有不同效果。任何案例如與網站流覽者曾接受的治療如有雷同,則純屬巧合。

請勿根據此處的資訊診斷自己牙齒的問題,應向專業牙醫生查詢。

類別/低疼痛3D矯正

厚道患者王小姐

 

治療前
 
治療後
治療前
 
治療後


※ 本網站介紹的治療案例僅屬個別案例,對不同人士可能有不同效果。任何案例如與網站流覽者曾接受的治療如有雷同,則純屬巧合。

請勿根據此處的資訊診斷自己牙齒的問題,應向專業牙醫生查詢。

類別/低疼痛3D矯正

厚道患者王小姐

 

治療前
 
治療後
治療前
 
治療後


※ 本網站介紹的治療案例僅屬個別案例,對不同人士可能有不同效果。任何案例如與網站流覽者曾接受的治療如有雷同,則純屬巧合。

請勿根據此處的資訊診斷自己牙齒的問題,應向專業牙醫生查詢。

類別/低疼痛3D矯正

厚道患者王小姐

 

治療前
 
治療後
治療前
 
治療後


※ 本網站介紹的治療案例僅屬個別案例,對不同人士可能有不同效果。任何案例如與網站流覽者曾接受的治療如有雷同,則純屬巧合。

請勿根據此處的資訊診斷自己牙齒的問題,應向專業牙醫生查詢。

類別/低疼痛3D矯正

厚道患者林小姐

左上側門牙陷在裡面看似缺牙,利用快速低疼痛矯正器將側門牙拉出恢復動人微笑,不需拔牙

 

治療前
 
治療後
治療前
 
治療後


※ 本網站介紹的治療案例僅屬個別案例,對不同人士可能有不同效果。任何案例如與網站流覽者曾接受的治療如有雷同,則純屬巧合。

請勿根據此處的資訊診斷自己牙齒的問題,應向專業牙醫生查詢。

類別/低疼痛3D矯正

厚道患者林小姐

 

治療前
 
治療後
治療前
 
治療後


※ 本網站介紹的治療案例僅屬個別案例,對不同人士可能有不同效果。任何案例如與網站流覽者曾接受的治療如有雷同,則純屬巧合。

請勿根據此處的資訊診斷自己牙齒的問題,應向專業牙醫生查詢。

類別/低疼痛3D矯正

厚道患者林小姐

 

治療前
 
治療後
治療前
 
治療後


※ 本網站介紹的治療案例僅屬個別案例,對不同人士可能有不同效果。任何案例如與網站流覽者曾接受的治療如有雷同,則純屬巧合。

請勿根據此處的資訊診斷自己牙齒的問題,應向專業牙醫生查詢。

類別/低疼痛3D矯正

厚道患者林小姐

 

治療前
 
治療後
治療前
 
治療後


※ 本網站介紹的治療案例僅屬個別案例,對不同人士可能有不同效果。任何案例如與網站流覽者曾接受的治療如有雷同,則純屬巧合。

請勿根據此處的資訊診斷自己牙齒的問題,應向專業牙醫生查詢。

類別/低疼痛3D矯正

暴牙患者林小姐

 

治療前
 
治療後
治療前
 
治療後


※ 本網站介紹的治療案例僅屬個別案例,對不同人士可能有不同效果。任何案例如與網站流覽者曾接受的治療如有雷同,則純屬巧合。

請勿根據此處的資訊診斷自己牙齒的問題,應向專業牙醫生查詢。

類別/低疼痛3D矯正

暴牙患者林小姐

 

治療前
 
治療後
治療前
 
治療後


※ 本網站介紹的治療案例僅屬個別案例,對不同人士可能有不同效果。任何案例如與網站流覽者曾接受的治療如有雷同,則純屬巧合。

請勿根據此處的資訊診斷自己牙齒的問題,應向專業牙醫生查詢。

類別/低疼痛3D矯正

暴牙患者林小姐

 

治療前
 
治療後
治療前
 
治療後


※ 本網站介紹的治療案例僅屬個別案例,對不同人士可能有不同效果。任何案例如與網站流覽者曾接受的治療如有雷同,則純屬巧合。

請勿根據此處的資訊診斷自己牙齒的問題,應向專業牙醫生查詢。

類別/低疼痛3D矯正

暴牙患者林小姐

 

治療前
 
治療後
治療前
 
治療後


※ 本網站介紹的治療案例僅屬個別案例,對不同人士可能有不同效果。任何案例如與網站流覽者曾接受的治療如有雷同,則純屬巧合。

請勿根據此處的資訊診斷自己牙齒的問題,應向專業牙醫生查詢。

類別/低疼痛3D矯正

暴牙患者 廖小姐

 

治療前
 
治療後
治療前
 
治療後


※ 本網站介紹的治療案例僅屬個別案例,對不同人士可能有不同效果。任何案例如與網站流覽者曾接受的治療如有雷同,則純屬巧合。

請勿根據此處的資訊診斷自己牙齒的問題,應向專業牙醫生查詢。

類別/低疼痛3D矯正

暴牙患者 廖小姐

 

治療前
 
治療後
治療前
 
治療後


※ 本網站介紹的治療案例僅屬個別案例,對不同人士可能有不同效果。任何案例如與網站流覽者曾接受的治療如有雷同,則純屬巧合。

請勿根據此處的資訊診斷自己牙齒的問題,應向專業牙醫生查詢。

類別/低疼痛3D矯正

暴牙患者 廖小姐

利用骨釘合併快速低疼痛矯正器將暴牙大幅度往後拉

 

治療前
 
治療後
治療前
 
治療後


※ 本網站介紹的治療案例僅屬個別案例,對不同人士可能有不同效果。任何案例如與網站流覽者曾接受的治療如有雷同,則純屬巧合。

請勿根據此處的資訊診斷自己牙齒的問題,應向專業牙醫生查詢。

類別/低疼痛3D矯正

暴牙患者 廖小姐

 

治療前
 
治療後
治療前
 
治療後


※ 本網站介紹的治療案例僅屬個別案例,對不同人士可能有不同效果。任何案例如與網站流覽者曾接受的治療如有雷同,則純屬巧合。

請勿根據此處的資訊診斷自己牙齒的問題,應向專業牙醫生查詢。

 

 

 

 

 

 
   
 

回矯正首頁

 
諮詢專線│0800-800812 地址│新竹縣竹北市光明六路東二段242號

本網頁禁止任何網際網路業者轉錄其網路資訊之內容供人點閱專精項目:植牙本站已通過W3C驗證